ASENSIO BORRAS MARIA DOLORES JOSEFA 19/03/1963
README
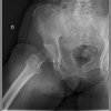
RX CADERA DERECHA
Estudio 250017904631033 de 19/09/2025
serie 1[1] : 1
cadera der.
serie 2[902] : 2
positive
RX AMBAS CADERAS (protec.gonadal)
Estudio 250017904631035 de 19/09/2025
serie 1[1] : 1
cadera(s)
serie 2[902] : 2
doubt